製品がカートに追加されました
Forus Health

ケーススタディ 4:
発展途上国における予防可能な失明の撲滅に貢献

Forus Health社が発展途上国に手頃なヘルスケアを供給 - 安価でポータブルなプレスクリーニング眼科装置を用いて

Iris - Deformable Mirrors

Forus Health社は、革新的で低価格、そして携帯可能なプレスクリーニング眼科用デバイス"3nethra"を用いて発展途上国の医療問題解決に取り組んでいます。このデバイスは、Edmund Optics®の光学部品を用いて組み立てられました。Forus Health社では、インドでの眼科医と患者の比率がおおよそ1:60,000と極めて高いレベルにある中で、予防可能な失明をなくしていくことを宣言しています。3nethraは、白内障、緑内障、糖尿病性網膜、屈折および角膜の問題といった眼に関する5つの主要な病気を見つけることができます。この装置は、最低限の訓練しか受けていない技術者でも、眼科医不在時にそれを操作できるようデザインされており、過疎地域での配備や使用を容易にします。また3nethraは、遠隔医療やデータセンター機能を装備するため、アイケアのエコシステム全体と繋がります。Forus Health社の顧客は、眼科病院や同診療所、糖尿病診療クリニック、医療センターや一般医師といった、幅広い医療機関から構成されます。3nethraは、CE規格の正式な臨床評価やコンプライアンス試験を受けており、インドの大手眼科病院に既に導入されています。 

Iris - Deformable Mirrors

製品開発時の挑戦

  • Edmund Optics®の光学部品は、低価格のポータブルプレスクリーニング眼科装置である3nethraのデザインに採用されました。
  • 平凸レンズやアクロマティックレンズのような標準的球面光学部品は、特殊なミラーや偏光板と組み合わせて用いられました。
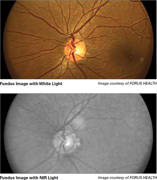
  • 以前のデザインは、可視スペクトルでの画像に優れていたものの、NIR (近赤外) でのそれは決して高くありませんでした。画像中央に強い反射があり、診断する際の妨げとなっていました。
  • 反射防止コーティングを1000nmまでのより長い波長をカバーするように調整することで、システム内の反射やノイズが改善されました。2種類の波長帯を用いるこの二重検査方法は、眼科目的にとって極めて重要になります。
  • 可視スペクトルは、網膜表面や角膜全体の一般的検査を可能にするのに対し、NIRスペクトルは、眼への刺激を伴わない連続的観察を可能にします。

EOのパートナー: Forus Health社について

Forusの名前は、"私のために (For Us)"の英語から来ており、「私と私のコミュニティ」を指しています。Forus Health社は、手頃な価格のテクノロジーソリューションと「ウェルネスの民主化」を開発し、インドや世界中の医療問題に取り組むイノベーション主導のテクノロジー企業です。K. ChandrasekharとShyam V. Raoによって設立されたインド・バンガロールを拠点とするこのスタートアップ企業は、安価で携帯性の高いプレスクリーニング眼科装置 3nethraを開発しました。同社は、眼疾患のプレスクリーニングに加えて、網膜をスキャンすることで糖尿病や心血管疾患、腎疾患、神経学的問題の早期症状を発見する技術の構築を目指しています。Forus Health社は、創業以来わずか数年で9つの異なる賞を受賞するという輝かしい記録を残しました。その受賞の中には、Gold Medallist、DST - Lockheed Martinインドイノベーション成長プログラム、インド-オランダイノベーションアワード、Samsung Innovation Quotient、2010 Piramal Prizeがあります。 

The Future Depends on Optics
このコンテンツはお役に立ちましたか?

References

  1. “Global Data on Visual Impairment.” World Health Organization, World Health Organization, 2010, www.who.int/blindness/publications/globaldata/en/.
  2. The Tech Museum of Innovation. “Forus Health: 2017 Tech for Global Good Laureate.” YouTube, 4 November, 2017, https://www.youtube.com/watch?time_continue=31&v=IUKMnMD-ZY0.
  3. “Preterm birth.” World Health Organization, World Health Organization, 2018, https://www.who.int/news-room/fact-sheets/detail/preterm-birth.
The Future Depends on Optics
 
販売や技術サポート
 
もしくは 現地オフィス一覧をご覧ください
簡単便利な
クイック見積りツール
商品コードを入力して開始しましょう
;