無限補正対物レンズの分解能と倍率の理解
重要なスペック | 低倍率イメージング | 高倍率イメージング

顕微鏡は、光学産業において、マシンビジョンやライフサイエンスの両方、或いは生物学的アプリケーションに用いられます。一例としてマシンビジョンアプリケーションでは、半導体やエレクトロニクス、組立、製造といった市場をサポートしています。ライフサイエンスアプリケーションでは、細胞や生体サンプルを様々な対物レンズの倍率で観察します。ライフサイエンスに向けて分解能や倍率、そして対物レンズに関する他の共通スペック間の相関を理解するため、角質培養の画像を無限補正対物レンズの5X, 10X, 20X, 50Xの各々で撮った時、それがどのように見えるかをみていきましょう。
以下のセクションに紹介する4つのアプリケーション例は、エドモンド・オプティクスが販売する無限補正対物レンズを全て利用しています。具体的には、ミツトヨ社製の対物レンズを使用しています。同社の対物レンズは、マシンビジョンや工業用検査に主として用いられますが、低照度条件、或いは細胞や微小なものを撮像する検査用途にも良好に機能します。
対物レンズを考える上での重要なスペック
無限補正対物レンズは、その倍率に関わらず良質な画像を得ることができます。同レンズは、高精密さを求めるアプリケーションや、光学用フィルターや偏光板、ビームスプリッター、同軸落射照明用パーツを光路内に加えたりする発展性を求めるアプリケーションに理想的です。しかしながら、無限補正対物レンズを用いる際は、以下に挙げたトレードオフの関係も存在します。
- 倍率が高くなると、レンズのNA (開口数)がより高くなる。これにより、作動距離がより短くなり、実視野サイズもより小さくなる
- 倍率が低くなると、レンズのNA (開口数)がより小さくなる。これにより、作動距離がより長くなり、実視野サイズがより大きくなる
- レンズの解像力性能は倍率の大きさに依存し、両者の関係は比例関係にある
無限補正対物レンズの場合、倍率、開口数、作動距離、解像力の大きさは、全て関連しています。倍率は、結像レンズの焦点距離を対物レンズの焦点距離で割ることで求められます。開口数 (NA)は、入射瞳径に対する焦点距離の関数となり、無限補正系のシステムに入射する光量の大きさに影響を及ぼします。作動距離 (WD)は、対物レンズの光路の同焦距離によって決まり、同レンズの最も対物側に位置するレンズ素子から検査対象物までの距離として規定されます。分解能は、適切に説明するのが最も難しい仕様の一つです。なぜなら、実際の検査対象物が特定倍率でどのように見え、その分解能の大きさをどのように定量化するかを表すのが難しいためです。そこで、以下のセクションに紹介したアプリケーション例を見ながらこれを考えていきます。対物レンズを考える上での重要なスペックの追加情報は、顕微鏡と対物レンズの理解をご覧ください。
アプリケーション例
無限補正対物レンズを用いたシステムには数多くのアプリケーションが存在します。生物学的アプリケーションにおいて最も共通したものに、蛍光顕微鏡があります。蛍光顕微鏡には、最も基本的な蛍光試料検出システムから、より複雑な構成の共焦点や多光子顕微鏡システムに至るまで、様々なものがあります。これらのシステムの中で最も複雑なものは、高倍率光学系を採用し、精密なメカニカル構造と高品質な光学用フィルター、レーザーなどのパワフルな照明装置を搭載したものです。反対に、よりシンプルなシステムは、標準的な広帯域光源と標準的性能のフィルター、シンプルなメカニカル構造、検査対象物に合わせた低~高倍率の光学系を搭載しています。
角質培養の低倍率イメージング
サンプルにも依存しますが、無限補正対物レンズを選定する際にはいくつかの経験則があります。代表的なセルサイズは10µmで、複数のセルの集まりを撮像する際は、低倍率で低解像な対物レンズの使用が適当です。異なる細胞膜やミトコンドリア、リボソーム、細胞核といった細胞内組織を識別する必要がある場合は、1µm以下を解像するレンズの使用がベストになります。
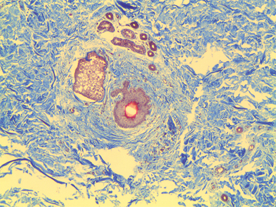
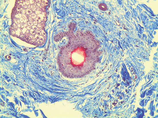
Figures 1 – 4は、米国ノースカロライナ州リサーチ・トライアングル・パークにあるZen-Bio Inc.により培養/用意された、トリクローム染色した3D角質培養モデルの検査サンプルです。Figure 1において、細胞外マトリックス (ECM)に周囲を覆われ、生物組織を併せ持つ細胞組織がはっきりと見てとれます。ECM内には細胞間構造や基底膜があり、その中には外的ストレスに対して圧縮バッファとして機能する多糖類や繊維状タンパク質が存在しています。基底膜内には多数の薄層が積層されて存在し、積層間にはエピセリウム細胞があります。多糖類ゲルやエピセリウム細胞をクリアに見るには、高倍率の無限補正対物レンズを使用するのがベストです。生体組織構造は、青色に着色された素材で包まれ、細胞や細胞膜は紫色に染色されています。また個々の細胞間には、小さい白と部分的に赤く染色された部分があり、ミトコンドリアや細胞核といったより密集した細胞内組織を作り出しています。
Figure 1は、#46-143 5X M Plan Apoシリーズ対物レンズを用いて取得した画像です。この無限補正対物レンズは、0.14の開口数があり、½型センサー使用時に1.28mm x 0.96mmの実視野サイズが得られ、2µmの分解能を得ることができます。人間の細胞の大きさは、おおまかに10µmが代表的なのため、#46-143の光学的仕様は最適な選択肢となります。
Figure 1: #46-143 対物レンズを用いて5Xの倍率で撮影したトリクローム染色した外皮組織サンプル
Figure 2は、#46-144 10X M Plan Apoシリーズ対物レンズを用いて取得した画像です。この対物レンズは、0.28の開口数があり、½型センサー使用時に0.64mm x 0.48mmの実視野サイズが得られ、1µmの分解能を得ることができます。この画像では、ECMの積層と編成構造、そして細胞内組織の構造がクリアに見えます。加えて、細胞性膜がより顕著に映り、リボソーム、ミトコンドリアといった細胞内組織が多数あり、画面中央に細胞核が大きく映っているのが見てとれます。
Figure 2: #46-144 対物レンズを用いて10Xの倍率で撮影したトリクローム染色した外皮組織サンプル
角質培養の高倍率イメージング
Figure 3は、#46-145 20X M Plan Apoシリーズ対物レンズを用いて取得した画像です。この対物レンズは、0.42の開口数があり、½型センサー使用時に0.32mm x 0.24mmの実視野サイズが得られ、0.7µmの分解能を得ることができます。Figure 3の画像は、細胞全体を実視野内で撮りながら、周囲を覆っているECMをより詳細に見分けます。細胞内組織の構造はより大きく映り、Figure 1 や Figure 2よりもより見やすく映ります。
Figure 3: #46-145 対物レンズを用いて20Xの倍率で撮影したトリクローム染色した外皮組織サンプル
Figure 4は、50Xの倍率による画像です。50Xの倍率は、メカニカルステージやピエゾアクチュエーターを使用することなく、無限補正対物レンズを安定的に使用して画像を得ることのできる最も高い倍率になります。この倍率では、照明器やコンピューターに搭載された空冷ファンからのわずかな振動により、ビデオ撮像時の画面の揺れやピント外れを引き起こすことがあります。Figure 4は、#46-146 50X M Plan Apoシリーズ対物レンズを用いて取得した画像です。この対物レンズは、0.55の開口数があり、½型センサー使用時に0.128mm x 0.096mmの実視野サイズが得られ、0.5µmの分解能を得ることができます。この対物レンズの焦点深度は、0.9µmしかないため、適切なメカニクス製品を利用しない場合は、レンズのピント合わせに相当量の時間を費やすことになります。Figure 4において、細胞性膜や細胞内組織の構造は、上述の5Xや10X, 20X時の画像に比べて更にクリアに、また艶やかに映ります。また、細胞組成物のサイズや形状が明白にわかります。Figure 1 (倍率5X) から Figure 4 (倍率 50X)までの画像を比較すると、倍率の増加による画像の見え方の違いが顕著に現れます。解像力が4倍高くなると、実視野のサイズが同じ倍率だけ小さくなります。50Xの倍率で撮像した時、明るい画像とコントラストを得るために、照明の光量を増やしたり、カメラのシャッタースピードやゲインをデジタル調整したりすることが求められます。デジタル設定を用いることで、画像の暗さやフレームレートを自動補正できるため、デジタルビデオ顕微鏡システムを始めて構築する際にとても便利です。在庫販売品の部品を用いてシステムを構築する際の詳細は、デジタルビデオマイクロスコープのシステムセットアップをお読みください。
Figure 4: #46-146 対物レンズを用いて50Xの倍率で撮影したトリクローム染色した外皮組織サンプル
無限補正対物レンズは、マシンビジョン検査やライフサイエンスアプリケーション用に最適です。皮膚組織などの生体サンプルの画像を取得する時、異なる倍率の対物レンズを用いた時に何が達成できるのかを理解することが重要になります。5Xや10Xの対物レンズは、複数の細胞の集まりやECM構造内の全体的な構造を見るのに最適です。20Xや50Xの対物レンズは、より高い解像力があり、細胞内組織の構造を見ることが可能になります。
もしくは 現地オフィス一覧をご覧ください
クイック見積りツール
商品コードを入力して開始しましょう
Copyright 2023, エドモンド・オプティクス・ジャパン株式会社
[東京オフィス] 〒113-0021 東京都文京区本駒込2-29-24 パシフィックスクエア千石 4F
[秋田工場] 〒012-0801 秋田県湯沢市岩崎字壇ノ上3番地
The FUTURE Depends On Optics®